1.Sun.| 2.Mon.| 3.Tue.| 4.Wed.| 5.Thu.| 6.Fri.| 7.Sat.
Join our "Morning Prayers" daily at 8 a.m.!
The article "AI Is Not Your Friend" by Fr. Jonathan Tobias is a very well expressed and thoughtful take on the rising tide of news about Artificial Intelligence, or AI. The author points out the fallacy of people thinking that AI possesses personhood and can have personal, caring and loving relationships with people. Other writers state that AI is like a "marble machine" in which gravity sends marbles into various buckets, or it's billions and billions of tiny switches programmed to act like human thinking, but it's not really human. The "AI Is Not Your Friend" article says AI is just a tool, like a spoon that can be used to stir a cup of tea, or for making meth. My comment to the article was as follows:
"When a person signs up for an account with an AI service, he/she enters name, email address and perhaps other information. The AI can then look up several hundreds of data points about that person as well as their internet browsing history, then tailor responses to that person's AI queries so that it appears that the AI is an intimate friend who knows all about the person. And the AI companies must sell this information to the government upon demand. But AI is just a machine that is trained to do exactly this: to make people think that it is benign and all-knowing. In reality, AI is just an idol made by human hands.
"As St. Paul wrote, an idol is nothing in itself, but to those who choose to believe it is a god or a demon, to them it is (1 Cor. 8:4-7). For them, an evil entity may actually inhabit the machine. For mature Christians, however, the power of the evil one has been broken. We have read accounts of several people who have been led astray, into insanity and even suicide because of AI. When many, many people choose to believe this deception that AI is a super-human entity, it may eventually lead to mass hysteria against Christians who testify that Jesus Christ alone is the true, visible icon of the invisible God (Acts 19:27-34)."
Billions and billions of dollars are being poured into huge computer complexes to process ever larger and larger "large language models" in the U.S. and around the world. This isn't being done for charity, as a gift to mankind: it's being done for profit, to form (or rather, deform) the way people think, to direct the way they spend their money. If babies, children and adults die, it's just an unavoidable side effect. Proverbs 1:10-16 warns Christians against joining with the killing of innocent and gullible people for financial gain:
"My son, if sinners entice you, do not consent. If they say, 'Come with us, let's lay in wait for blood; let's lurk secretly for the innocent without cause; Let's swallow them up alive like Sheol, and whole, like those who go down into the pit. We'll find all sorts of valuable wealth. We'll fill our houses with spoil. You shall cast your lot among us. We'll all have a common purse.' My son, do not walk in the way with them. Keep your foot from their path, For their feet run to evil. They hurry to shed blood."
Get the full article on our ARC-News blog. And create your own blog or website for less than $2 per month!
(click the pic!) From Simon at Vision Complex: "This is Juliana. Her daily work is begging for her needs on the street. Every day she wakes up in the morning and asks her neighbour's son to help her by pushing her wheelchair to the street so she can beg. That is how she earns her living."
Sick kids are important. But 10 times as many disabled adults are important too! Only 6% of children are disabled, but 60% of adults and elderly people are disabled. Do we simply expect that Juliana is going to die soon, so let's just ignore her and let her go away and die?
Juliana said she is living in the worst condition, a situation which forces her to beg, and most people ignore her. She said if she can get a help she will start a business. If you can help her, please go to https://Agape-Restoration-Society.org/donate.htm and designate for "Vision Complex: Juliana" – thank you!
A Personal Note: Please keep praying for my wife Cheryl's complete healing from her second spinal fusion surgery on May 13. (After the first surgery on Dec. 10 last year, another vertebra fractured.) We've been going to water therapy for the past four weeks, which is helping her build strength in her legs and back without putting much strain on her spine. Yesterday at 3:30 in the afternoon I took Cheryl to the hospital ER (Emergency Room) because she had severe back pain. We got home at 8:30 p.m. They did a CT scan and it seems there may be a loose screw from the titanium rod to the L-2 vertebra. Next thing is to notify the surgeon's office. Thanks again for your continued prayers!
Here's our next free online course: (click →) Intro: "Ministry to Handicapped and Poor" - deadline to enroll: 31 Aug. 2025 (← click). So enroll today, before you forget! And check out all of our free literature, e-books, and booklets!
SYNOPSIS: Grammy-winning gospel singer Naomi Raine shared with Lecrae her experience of an unplanned pregnancy, highlighting the challenges and support she received. Raine describes a childhood rooted in faith, but later engaged in sexual activity and became pregnant while a member of her church. Despite the difficult circumstances, Raine emphasizes her reliance on God and her family's love, including a supportive reaction from her father after disclosing the pregnancy.
Raine experienced contrasting reactions from her church community, where the father of her child faced no consequences, while she did. Raine views her daughter as a "blessing" and evidence of God's grace despite her mistakes; "She is like God’s grace personified to me, that he can do something good out of my mistakes, my bad situation, even when things were not fair between me and my baby's daddy," she said. Raine's story focuses on the message of redemption, forgiveness, and finding blessings in challenging situations through faith.
Pray for gospel singer Naomi Raine's complete spiritual healing, and for churches to not only blame the woman but to also deal with the man who deceives and misuses her.
SYNOPSIS: Ukrainian authorities, specifically the SBU, detained two clergymen of the UOC-MP (Ukrainian Orthodox Church of the Moscow Patriarchate) in Odessa for allegedly collaborating with the enemy (Russia). One clergyman, a 58-year-old priest, allegedly glorified the Russian occupiers and insulted other religious groups; he had connections with a wanted pro-Russian collaborator and Igor Markov. The other detainee, a 44-year-old protopriest, justified the Russian shelling of Ukrainian civilian infrastructure in sermons.
Both clergymen were accused of justifying Russia's war and glorifying its participants (Article 436-2), as well as violating religious equality (Article 161). The SBU used forensic linguistic analysis to confirm their subversive activities. The suspects' actions were reported to have included coordinating with collaborators like Valery Kaurov, who fled to Russia in 2014. Their activities included disseminating false information about alleged local support for the occupation.
Intercede for Ukraine: for an end to the killing and destruction there, and for a fair, just and lasting peace in the whole region.
SYNOPSIS: Idaho is experiencing an exodus of doctors due to a new state law restricting abortion, with some doctors leaving because they disagree with the law's exceptions. The new law, the Defense of Life Act, allows abortions in certain circumstances, which is causing controversy as abortion practitioners and the media misrepresent the law as a complete ban. Raul Labrador, Idaho's attorney general, has agreed with Planned Parenthood to allow patients to seek abortions elsewhere, raising ethical questions about the state's stance on abortion.
The article questions the ethical dilemma faced by doctors who perform abortions, particularly in light of the Hippocratic Oath, and whether doctors can reconcile their profession with killing babies. It argues that only a human personhood law protecting all human beings from conception will sufficiently address the issue of abortion, as politics and societal dishonesty often obscure the truth about the morality of abortion. The discourse surrounding abortion has been superseded by political rhetoric and societal acceptance of death-related practices.
Pray that these stubborn doctors would realize that the law's exceptions provide enough leeway to continue practicing their profession legally in Idaho.
SYNOPSIS: A new documentary, "An Open Door," about Temple Grandin, premieres on streaming services, highlighting her life and contributions as an autism advocate and expert in livestock handling. The documentary features Grandin's personal experiences and perspectives from colleagues, showcasing her impact on agriculture and understanding autism. Grandin, despite not speaking until age 3½, became a prominent figure in animal handling and a professor, designing livestock facilities used by more than half of U.S. cattle.
The film emphasizes Grandin's belief that different minds are essential for solving problems, turning her differences into a strength. This documentary is significant as it's the first feature-length film dedicated to Grandin, following a previous Emmy-winning HBO biopic. Other articles discuss issues like differing suspension rates for students with disabilities based on geography, funding uncertainty for disability programs, and the difficulties of acquiring service dogs.
Thank God for Temple Grandin's example of how a person with autism can overcome that disability and become a famous for her work in livestock handling.
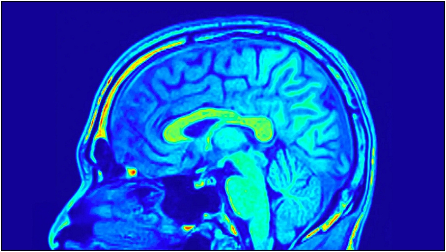
SYNOPSIS: Researchers at DZNE, the University of Magdeburg, and the Hertie Institute for Clinical Brain Research discovered that some brain layers in the touch-processing region of the cerebral cortex age more slowly than previously thought, even growing thicker with age, contradicting the general assumption that brain volume loss equals reduced function. Using high-resolution brain scans, they found that while the overall cerebral cortex thins with age, certain layers, notably the middle and upper layers, of the primary somatosensory cortex remain stable or thicken, suggesting neuroplasticity (adaptability) even in older adults. This layered resilience is linked to the intensity of stimulation; areas more frequently used, like those involved in sensorimotor tasks, remain functional.
The study shows that the lower layers of the cortex, involved in stimulus modulation (amplification or attenuation), do exhibit age-related thinning and reduced myelin content, potentially explaining why some functions decline with age. However, compensatory mechanisms are evident: an increase in myelin content in the lower layers of older individuals suggests that the brain compensates for age-related decline in certain areas.
Praise the Lord for this discovery that all elderly people's brains do not deteriorate, but can actually grow stronger with age.
SYNOPSIS: This research from a peer-reviewed scientific journal provides authoritative insights into a condition called specific musical anhedonia, where individuals derive no pleasure from music despite having normal hearing and the ability to enjoy other experiences. The study, published in the prestigious Cell Press journal Trends in Cognitive Sciences, reveals that this condition stems from a disconnection between the brain's auditory processing networks and reward circuits, rather than deficits in either system individually.
Using brain imaging and behavioral assessments including the Barcelona Music Reward Questionnaire, researchers at the University of Barcelona demonstrated that people with this condition can perceive musical melodies normally but show reduced reward circuit activity specifically when listening to music, while maintaining typical responses to other pleasures like winning money or food. This research offers valuable understanding for individuals who may feel isolated or different due to their lack of musical enjoyment, providing scientific validation that their experience represents a legitimate neurological variation rather than a personal failing.
Pray for people to understand "specific musical anhedonia" – that some of them may not be "wired" to appreciate the beauty of music.
Perhaps you've read this before and are wondering, "Why am I seeing this again?" But millions of other Christians haven't seen it! So please use the "share" buttons above to share it with your social media friends. Thanks!!
(← click) We set up
"Agape Restoration Society" in 1998 as a nonprofit organization that demonstrates the love of Christ in practical, charitable actions, namely by training people to work with and rehabilitate disabled people, to provide medicines, wheelchairs, other equipment, and Build the ARC - Agape Restoration Communities.
How did this idea of creating such a caring community come about? Check out our previous slide – "We Who Are Strong." I committed my life to serve Christ as my Lord and Savior in 1957, and about a year later, I received a vision as I stood on the balcony of a U-shaped apartment complex. A voice said, "Remember this plan: you will build it many years from now, when you're an old man." I asked, "Why do I have to wait so long?"
Then I saw a map or outline of the USSR in the sky, and also was given the clear impression that there was something very special about the stairways, but I didn't understand what. Immediately after receiving this vision I began studying Russian history, language, and politics, and my wife and I eventually served there as missionaries for 17 years. Over the years I drew these plans several times, even built our own passive solar house incorporating some of these ideas, but there was always that nagging question about the stairways. What's the big deal about the stairways? Enroll in our free courses to see how YOU can do diakonia-ministry.
~*~*~*~*~*~
Now you've reached the end of our slide show, so...
→ What are you going to do about it? ←
"More is lost by indecision than by wrong decision." - Cicero
~*~*~*~*~*~
Don't put off making a decision about your future home. You have to make a decision: "not to decide is to decide." You can choose to sit, looking out the window at those two above quotations until you fall asleep or fall over, or you can choose to do something about it. Don't wait for the "perfect situation" - it will never appear. Delaying a decision until you're almost dead is too late: you won't have the mental or physical strength to make the move and your family might very well be too busy or too far away to help. Please fill out the email form below to get started.
Yours sincerely,
"Dr. Bob"
Robert D. Hosken, M.Min., M.Th.S., D.Min.
DO YOU WANT $40 ←(click!) TO SUPPORT OUR MINISTRY? – OR – CAPITALONE WILL GIVE US $100 ←(click!) FOR OUR MINISTRY!
Also, we've now added Zelle for completely FEE-FREE giving (if you use a U.S. bank)!
Keep our ministry going! Use our Zelle or PayPal QR codes, or click on "Donate One-Time or Monthly."
If just 5% of the people who see this would give $5 per month (just 17¢ per day!) – coffee with your favorite friend at your favorite coffee shop – we could cover our operating expenses and do much more in spreading the word, supporting orphans, and providing accessible housing for the disabled. My wife and I left our careers over 30 years ago to serve in Russia as missionaries: we're now "semi-retired" – we've put on a new set of semi tires and keep on trucking! We live on our retirement income and volunteer our time: we receive no financial support from Agape Restoration Society. Our websites and ministry are funded by us and just a few friends. ...thanks!
And please Share Our Vision with your family & friends!
Please remember to pray for Christians in Secularized Countries, and for...
Your fellow-servants,
Bob & Cheryl
p.s. We have laws against murder, rape, theft, slavery and child molestation. Who says you can't legislate morality?